-The Paradoxical Void-

-The Paradoxical Void--The Paradoxical Void--The Paradoxical Void-

-The Paradoxical Void-

-The Paradoxical Void--The Paradoxical Void--The Paradoxical Void-
  • Home
  • 18 + (Story Material)
  • My Personal Art

Understanding Brain Surgery: A 2013 Experience

Man lying in hospital bed with a large stitched wound on his head.
Man resting with a large curved surgical scar on his scalp.
Close-up of a healing surgical scar on a shaved head.
Person resting in a hospital bed wrapped in a blanket.
Man lying in hospital bed with head bandaged and connected to medical devices.
Man in hospital with head bandaged and connected to medical wires.
Man in hospital bed with EEG cap and wires smiling at camera.
A bundle of black cables organized on a cart near a hospital bed.
Medical professionals adjusting EEG electrodes on a patient's head wrapped in gauze.
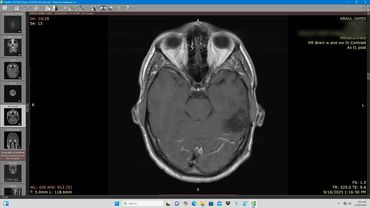
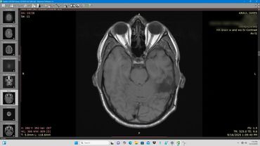
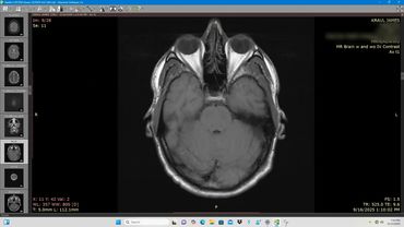
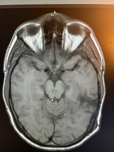
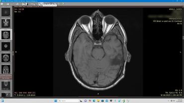
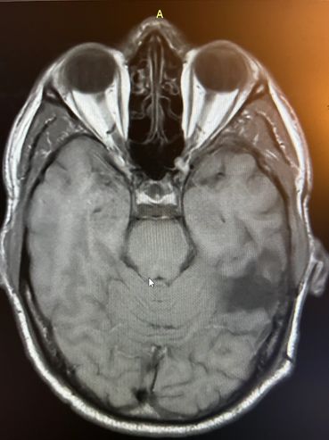
Axial MRI scan showing detailed brain structures including eye sockets and brain tissue.
Show More

Copyright © 2025 

The Paradoxical Void LLC - All Rights Reserved.


Powered by

This website uses cookies.

We use cookies to analyze website traffic and optimize your website experience. By accepting our use of cookies, your data will be aggregated with all other user data.

Accept